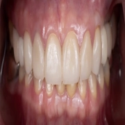
This Invisalign case features a young adult patient who was concerned about crowded upper and lower front teeth, which affected both appearance and oral hygiene. The patient preferred a clear and remo
This Invisalign case involved a patient with moderate dental crowding and slightly misaligned front teeth. The patient preferred a discreet, removable solution rather than traditional metal braces. Af
This Invisalign treatment case demonstrates how clear aligners can effectively correct crowded and misaligned teeth while maintaining a natural appearance throughout the process. The patient visited o
This Invisalign case study showcases how clear aligner treatment in Thailand successfully corrected a patient’s crowded and misaligned teeth, achieving a natural and confident smile without traditiona
This endodontic case demonstrates how a severely damaged front tooth was successfully treated using root canal therapy in our Bangkok dental clinic. The patient came with severe pain and sensitivity d
Certified Doctor More >
Dr. Nanthareeda Phongphanit (Dr. Mai)
General Dr.
CDC Dental (Chatuchak Dental Center)
Patcharaporn Gavila
Assistant Dr.
Kitcha Dental Clinic
Dr. Suksan Phuttachat
Assistant Dr.
Pasook Dental Clinic (ICS Opposite ICONSIAM)
Dr. Wasit Lertwanich
General Dr.
Chiang mai International Dental Clinic (CIDC)
Dr. Jurailak Tangsuk (Dr. Jubjang)
Associate Chief Dr.
CDC Dental (Chatuchak Dental Center)
Dental Hospital More >
Bangkok Hospital Dental Center
Good at: Oral Medicine Oral Surgery Orthodontics Oral restoration Children's Dentistry Preventive oral care
Bangkok Phuket Dental Center
Good at: Oral Medicine Oral Surgery Orthodontics Oral restoration Children's Dentistry Preventive oral care
Sea Smile International Dental Clinic
Good at: Oral Medicine Oral Surgery Orthodontics Oral restoration Children's Dentistry Preventive oral care
Silom Family Dental House
Good at: Oral Medicine Oral Surgery Orthodontics Oral restoration Children's Dentistry Preventive oral care
Dental Design Clinic & Lab
Good at: Oral Medicine Oral Surgery Orthodontics Oral restoration Children's Dentistry Preventive oral care