Single Tooth Whitening and Orthodontic Correction in Thailand – Case Study

2025-09-25 15:21:08
Before Treatment
Before
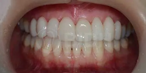
After Treatment
After

This case study features a patient in Bangkok, Thailand, who sought treatment for a discolored and slightly misaligned single front tooth. After a detailed examination, the dentist recommended a combined approach: professional tooth whitening followed by minor orthodontic adjustment to achieve proper alignment.

The whitening procedure used a safe, advanced bleaching system to lighten the tooth several shades, restoring a bright and natural appearance. Once the desired color was achieved, a gentle orthodontic correction using clear aligners was applied to bring the tooth into perfect alignment with adjacent teeth.

The treatment was completed in a few weeks with minimal discomfort, resulting in a beautifully aligned and brighter smile. This case demonstrates how Thailand’s cosmetic dental specialists can offer effective solutions for single-tooth aesthetic issues, combining whitening and orthodontics for optimal results.

collect