Pattaya Dental Scale and Polish – Budget-Friendly Clinics.
Pattaya Dental Scale and Polish – Budget-Friendly Clinics
Planning a beach escape and a smile refresh in one go? Pattaya makes it easy. The city isn’t just about Beach Road sunsets and seafood; it’s also known for clean, professional dental care at friendly prices. If you’re looking for a dental scale and polish that won’t break the bank, you’ll find plenty of options across Central Pattaya, Jomtien, and Naklua—many with English-speaking staff, transparent fees in baht, and convenient walk-in slots.
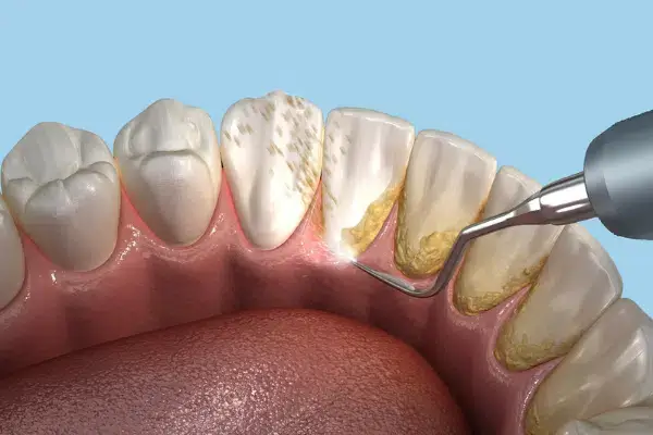
What is a scale and polish, and why do it?
Think of a scale and polish as a spa day for your teeth. The “scale” removes hardened plaque (calculus) and stains using ultrasonic tools and fine hand instruments. The “polish” smooths your enamel to make it harder for new plaque to stick and helps your smile look bright. It’s a simple prevention routine—great if you enjoy Thai coffee, iced tea, or curries that can leave stains. Most dentists recommend doing it every six months, or more often if you smoke or have gum issues.
Typical prices in Pattaya
Pattaya’s value-for-money reputation holds true in dentistry. As a ballpark, a standard scale and polish in Pattaya usually runs around 800–1,500 baht. If the clinic bundles extras such as fluoride, an oral exam, or digital X‑rays, package prices may be 1,000–2,500 baht depending on your needs. Many clinics run promotions during low season or midweek; it’s common to see “scale and polish + consultation” specials posted on their Facebook pages or Google Business profiles.
Where to find budget-friendly clinics
You’ll see dental signs all around town, but three areas are especially handy:
- Central Pattaya and Second Road: Convenient if you’re staying near Terminal 21 or Beach Road. Lots of clinics here are used to serving tourists and expats, with English or bilingual reception.
- Soi Buakhao and Third Road: Known for competitive pricing and flexible walk-in options. Great for a quick same-day clean.
- Jomtien and Naklua: Calmer vibe, easy parking, and good value. Ideal if you prefer less busy streets.
Most clinics post prices, opening hours, and photos of their facilities online. Search “Pattaya dental scale and polish” and filter by rating and recent reviews. If you’re already out and about, a short ride on the baht bus (songthaew) or a Grab will get you to multiple clinics within 10–15 minutes.
What to expect during your appointment
- Check-in and quick chat: The dentist will ask about sensitivity, bleeding gums, and your coffee or smoking habits. If you haven’t had a dental check in a while, they may suggest a quick exam first.
- Scaling: Ultrasonic vibration loosens tartar above and just below the gumline. You’ll hear some buzzing—no worries, it’s normal.
- Polishing: A spinning brush and fine paste smooth the surfaces. Some clinics offer fluoride foam or gel at the end to reduce sensitivity.
- Time and comfort: Most scale-and-polish sessions take 30–45 minutes. If you have heavy tartar, it may run closer to an hour. Mild sensitivity can ha

ppen for a day or two; over-the-counter pain relief is usually enough.
- Payment: Clinics accept cash (baht) and increasingly card or QR. Ask for a receipt if you plan to claim insurance.
How to choose the right clinic
- Qualifications: Look for dentists licensed by the Dental Council of Thailand. Many clinics list credentials at the reception or website.
- Hygiene standards: Sterilization pouches, clean instruments, and disposable items should be visible in the treatment room.
- Transparent pricing: Fixed fee for scale and polish, with clear add-ons if needed. A quick phone call or Line message can confirm the rate.
- Communication: English-friendly staff make things easy. If you have special requests (gentle clean, sensitivity issues), let them know.
- Location and timing: Choose a spot near your hotel or on your way to the market or beach. Many clinics open late, which suits Pattaya’s sabai sabai schedule.
Money-saving tips
- Check midweek deals: Tuesday–Thursday often have slots and promos.
- Ask about packages: Combine scale and polish with a check-up or fluoride for better value.
- Bring your previous X-rays: If you have recent films, you can avoid extra costs.
- Go in the morning: Fresh schedule, shorter wait time, and your teeth feel clean all day.
Aftercare and everyday habits
For 24 hours after polishing, try to skip coffee, tea, red wine, or strong curry to reduce new staining. Keep flossing once a day, and brush lightly if you feel sensitive. If you’re planning a spicy food tour, stay hydrated—Thailand’s heat plus chilies can make gums feel a bit tender after a deep clean.
Insurance and payment notes
Many international travel plans don’t cover routine dental cleaning, but some expat health policies do. If you need a claim, request an itemized receipt in English with the clinic’s stamp. Payment is commonly in baht; cards and QR Pay are normal in busier areas, but best to confirm before you go.
FAQs: Pattaya dental scale and polish
- How much does it cost? Roughly 800–1,500 baht for a standard clean; package deals can be 1,000–2,500 baht.
- Do I need an appointment? Walk-ins are common, especially on Soi Buakhao and Third Road, but booking ahead gets you a better time slot.
- Is it painful? Most people feel only mild discomfort. If your gums are sensitive, ask for a gentle clean or topical gel.
- How long does it take? Around 30–45 minutes for a normal session.
- Will I get English support? In Central Pattaya and Jomtien, yes—most receptionists and dentists are used to English-speaking clients.
- Can I eat right after? Yes, but try to avoid dark-colored drinks or strong spices for the first day to keep the polish effect.
Bottom line
Pattaya is an easy place to fit a dental scale and polish into your holiday or weekly routine. With budget-friendly clinics, convenient locations, and a laid-back “no worries” approach, you can get a professional clean, keep your gums healthy, and flash a brighter smile for your beach photos—all without taking a big bite out of your budget.
collect
Hospitals included
Products included
Suggested reads