Dental Crown Restoration Case in Thailand – Before and After Tooth Repair

2025-09-18 16:41:46
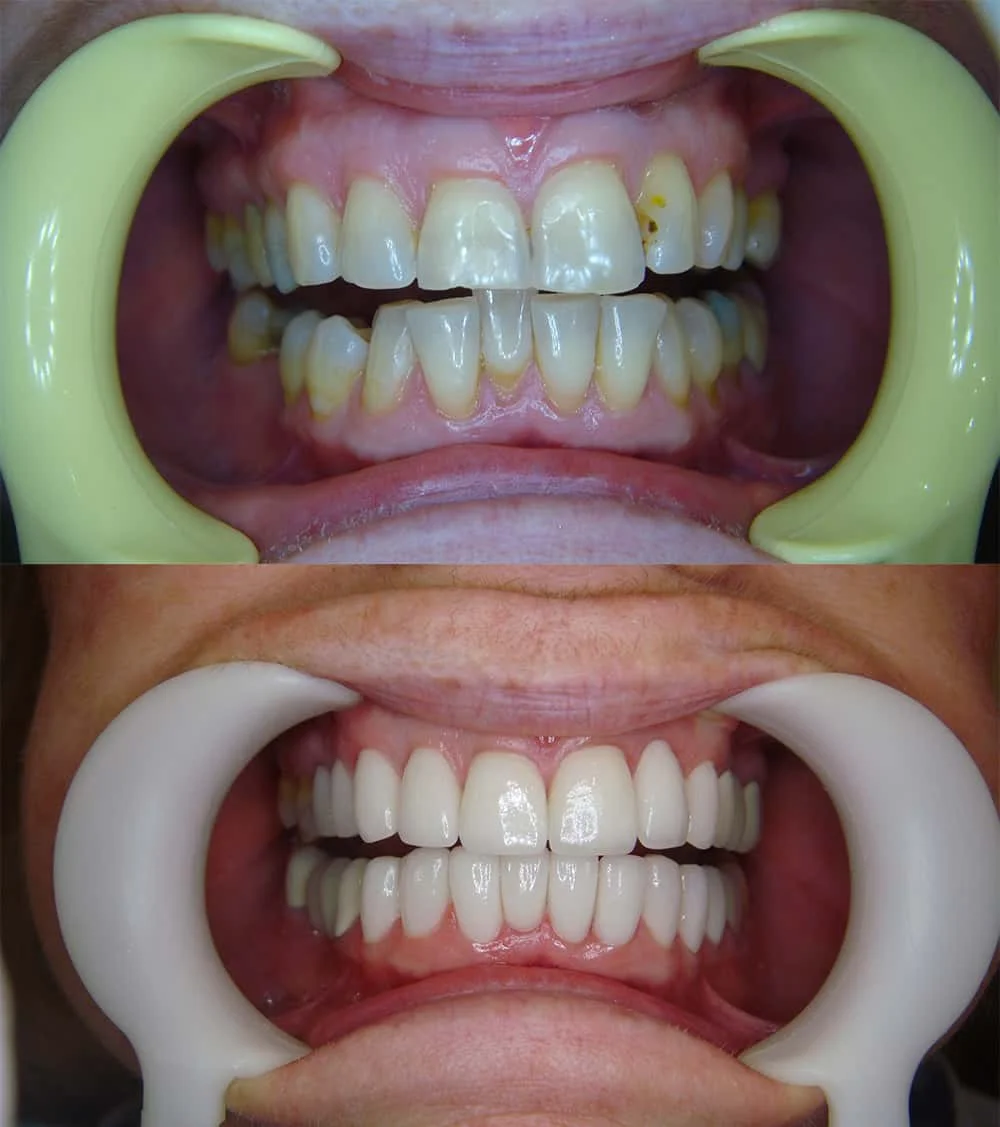
Before Treatment
Before
After Treatment
After

This dental crown restoration case from Thailand shows how restorative dentistry can bring back both strength and beauty to a damaged tooth. The patient came to our clinic with a cracked molar that caused discomfort when chewing and affected the overall bite. After careful examination, the dentist recommended a porcelain dental crown as the best solution to protect and restore the tooth.

The treatment process began with reshaping the natural tooth and taking precise impressions to ensure a perfect fit. While waiting for the permanent crown, a temporary crown was placed to protect the tooth. Once the custom porcelain crown was ready, it was carefully bonded in place. The final result blended seamlessly with the surrounding teeth, offering a natural look and improved function.

The “before and after” images clearly show how dental crown treatment can restore both confidence and oral health. With experienced dentists, modern equipment, and affordable treatment costs, Thailand has become a trusted destination for dental crown restorations and other cosmetic dentistry procedures.

collect