Invisalign Case Study: Perfect Smile Alignment with Clear Braces in Thailand
chandler
Invisalign Case: Achieving a Straight and Natural Smile with Clear Aligners in Thailand
chandler
Invisalign Case Study: Transforming a Crooked Smile into Perfect Alignment in Thailand
chandler
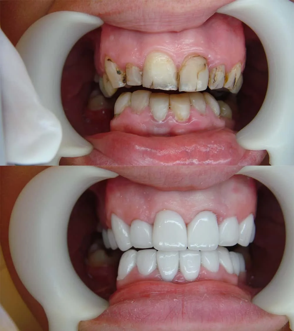
Dental Veneers Treatment in Thailand – Cosmetic Smile Makeover Case Study
chandler
Single Tooth Whitening and Orthodontic Correction in Thailand – Case Study
chandler
Single Tooth Implant with Crown in Thailand – Case Study for Missing Tooth Restoration
chandler
Dental Implant and Crown Restoration in Thailand – Missing Tooth Replacement Case Study
chandler
Professional Teeth Whitening in Bangkok – A Successful Cosmetic Dentistry Case Study
chandler
Dentures Restoration Case in Thailand – Before and After Smile Repair
chandler
Dental Implant Case in Thailand – Before and After Tooth Replacement
chandler
Porcelain Veneers Case in Thailand – Before and After Smile Transformation
chandler
Dental Crown Restoration Case in Thailand – Before and After Tooth Repair
chandler
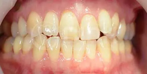
Teeth Whitening Case in Thailand – Before and After Professional Dental Treatment
chandler
Dental Implant Case Study
chandler
Dental implant treatment cases
chandler
Orthodontic Treatment Details
chandler
Orthodontic Treatment Journey: What to Expect
chandler
Canine Teeth Correction: What to Expect from Orthodontic Treatment
chandler
Correcting Inward Front Teeth: Orthodontic Treatment Explained
chandler
Correcting Protruding Front Teeth and Chin: Orthodontic Treatment Explained
chandler